Your Health, Beauty, and Wellness Hub

Hopecare Clinic Deira brings health, wellness, and beauty together under one roof. Our expert team offers dermatology, aesthetic treatments, personalized GP care, dentistry, and advanced diagnostics, delivering compassionate, patient-centered care to help you look and feel your best.

Aesthetic Excellence

Transforming your look with expert care.

Wellness Focus

Wellness Score
0%
Personalized health solutions for every patient.

Visit Our Center

Deira, Dubai- United Arab Emirates

Your Wellness Journey Starts Here.

Get An Apointment

Book your visit today for personalized expert care.

Call us:

+971 04 575 1416

Opening Hours

Your Trusted Partner in
Beauty and Wellness

Our multidisciplinary clinic provides expertly delivered services in Dermatology & Aesthetic Medicine, Functional & Longevity Medicine, General Practice, Dentistry, and Advanced Laboratory Testing.

Our Vision

To be Dubai’s leading clinic for health, wellness, beauty.

Our Mission

Compassionate, innovative, and personalized care for every patient.

Years of Experience
0 +

Enhance Your Beauty With Expert Care

Discover our advanced aesthetic treatments designed to enhance your natural beauty. From Botox and dermal fillers to PRP and HydraFacials, our expert team ensures safe, personalized, and transformative results.

Bio Revitalization

Revitalize your skin with targeted hydration and nutrients, restoring youthful glow and elasticity safely.

Fractional Laser & PRP Therapy

Improve skin texture and tone using advanced laser combined with PRP for rejuvenation.

Laser Tattoo Removal

Effectively remove unwanted tattoos using advanced laser technology for safe, precise results.

Large Pores Treatment

Reduce the appearance of large pores, improve skin texture, and achieve smoother, healthier skin.

Scar Removal

Effectively diminish scars, restore smooth skin, and improve appearance using advanced, safe treatment methods.

Wrinkles treatment

Reduce wrinkles and fine lines, restoring youthful, smooth skin with safe, advanced treatment solutions.

Your Skin Matters — Don’t Wait!

Prioritize your skin’s health and beauty today. Our expert team provides personalized treatments, advanced therapies, and professional care to help you achieve radiant, youthful, and healthy skin. Don’t wait your skin deserves the best.

Compassionate Care – Patient er well-being first.

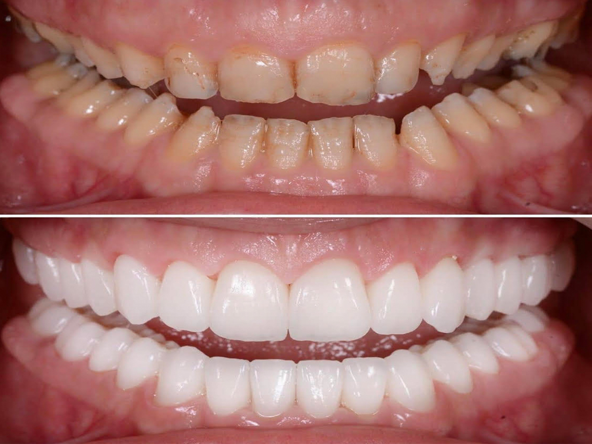
Our dental team provides gentle, patient-centered treatment focused on comfort, trust, and exceptional results. We ensure every visit supports your long-term oral health and creates a positive, stress-free experience.

Gentle Extraction

A precise, painless procedure removing milia-like oral cysts safely while ensuring complete comfort and fast healing.

Targeted Cleaning

Deep dental cleansing that clears trapped keratin spots, preventing recurrence and promoting healthier, smoother oral tissue.

Clients Served
0 k+

Your Health, Our Priority

Experience seamless healthcare at Hopecare Clinic. Book your appointment, consult our expert team, receive personalized treatments, and monitor your progress with advanced diagnostics. Our patient-centered approach ensures effective, safe, and comprehensive care for health, wellness, and beauty.
Fractional-Laser-with-PRP-Therapy-in-Riyadh-Saudi-Arabia

Book Your Appointment

Schedule your visit easily online or by phone to begin your personalized healthcare journey today.

01

Get Consultation

Meet our expert team for a thorough consultation, discussing your needs and personalized treatment options.

02

Start Your Treatment

Begin your personalized treatment plan with our skilled team, ensuring safe, effective, and professional care.

03

Because Every Client Deserves Exceptional Care.

At Hopecare Clinic, we believe every client deserves personalized, compassionate, and professional healthcare. Our expert team provides advanced treatments, attentive guidance, and tailored solutions to ensure your health, wellness, and beauty are always prioritized.
James Miller Client

"Hopecare Clinic exceeded my expectations. The staff was professional, caring, and knowledgeable. My treatment was personalized, effective, and delivered with great attention to detail. I feel confident and happy with the results."

Sarah Shah Client

"Amazing experience at Hopecare Clinic! The team guided me through every step, answering all questions patiently. The treatments were advanced, safe, and highly effective. I highly recommend their services to everyone."

Sofia Khan Client

"Exceptional care and attention! The doctors and staff at Hopecare Clinic made me feel comfortable throughout my treatment. Results were impressive, and the overall experience was seamless, professional, and truly satisfying."

We’re committed to your health contact us anytime.

Get in touch with Hopecare Clinic Deira for appointments, inquiries, or personalized care. Our friendly team is ready to assist you, ensuring a seamless, professional, and supportive healthcare experience.

Phone Number

+971 04 575 1416

Email

info@hopecare.ae

Get in Touch with Us